2105733706 6974803804 Κόδρου 23Α, Περιστέρι info@artdentalaesthetics.gr

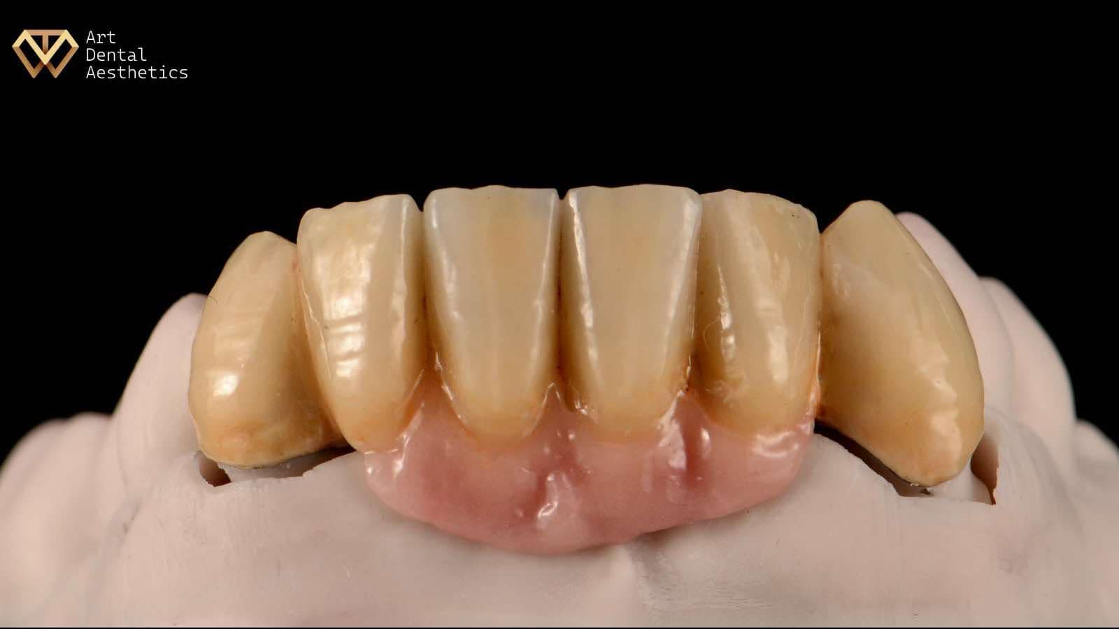
Μεταλλοκεραμικές Εργασίες

Μεταλλοκεραμικές Εργασίες {noPicture}

 

Πίσω